Dr. med. vet. Hans-Joachim Klein
Fachtierarzt für Pferde
32051 Herford - Südbachweg 58


Tel.: 0172-5204595



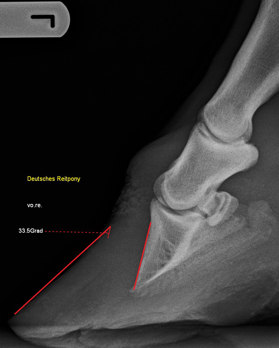
Zehe - 90°-Aufnahme
Hufrehe mit einer höchstgradigen Hufbeinrotation von 33,5 Grad