Dr. med. vet. Hans-Joachim Klein
Fachtierarzt für Pferde
32051 Herford - Südbachweg 58


Tel.: 0172-5204595



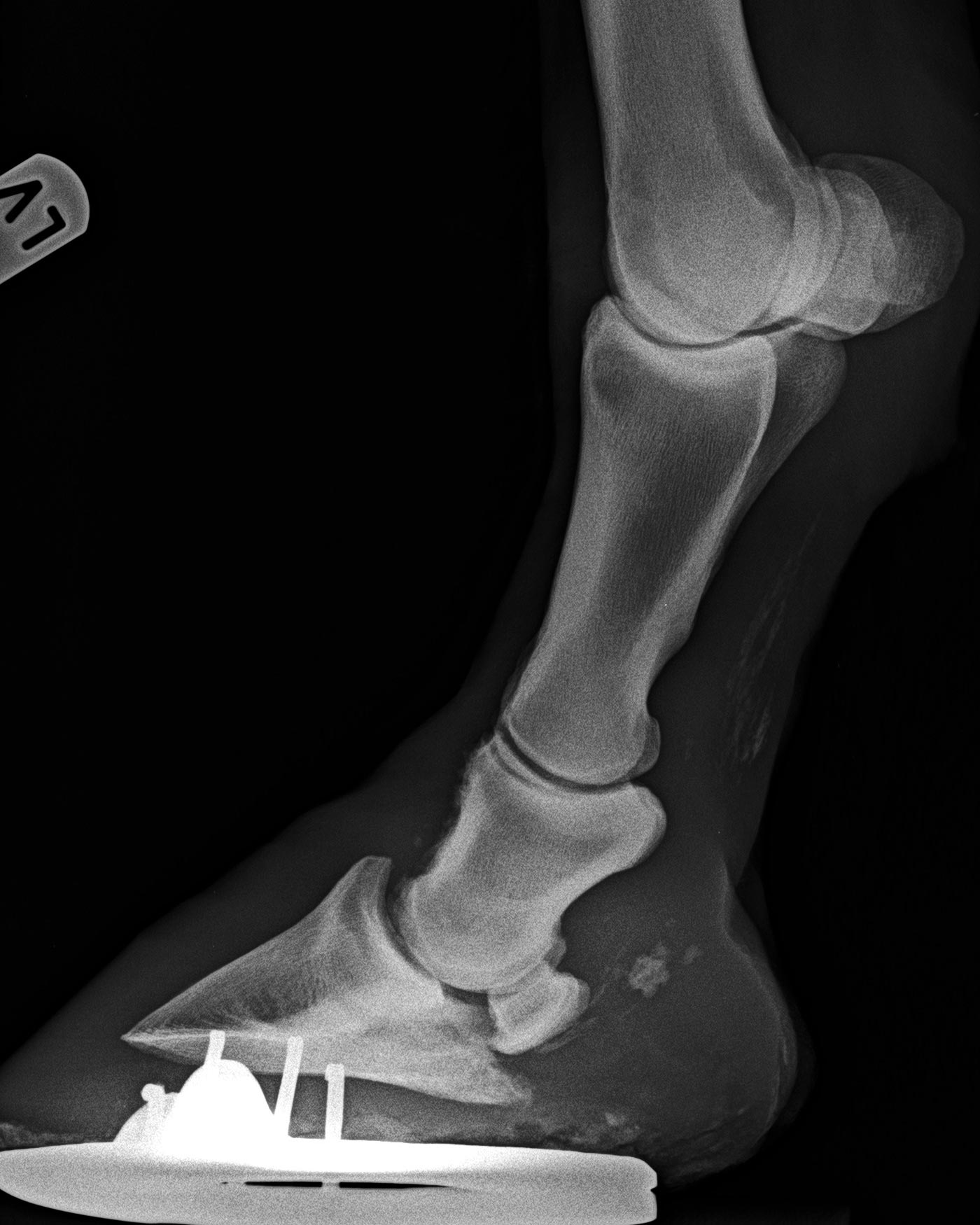
Zehe vorne links - 90°-Aufnahme
die gleiche Ansicht wie auf vorheriger Aufnahme 6 Monate später,
die Luxation im Hufgelenk hat erheblich zugenommen, die Prognose ist infaust