Dr. med. vet. Hans-Joachim Klein
Fachtierarzt für Pferde
32051 Herford - Südbachweg 58


Tel.: 0172-5204595




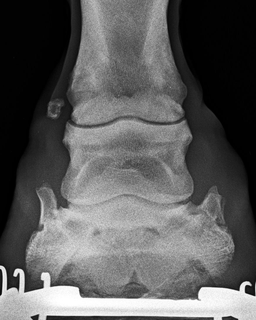
Höchstgradige Krongelenksarthrose mit isolierter Verknöcherung innen (wie auf folgender Aufnahme)